Prüfungsfrage
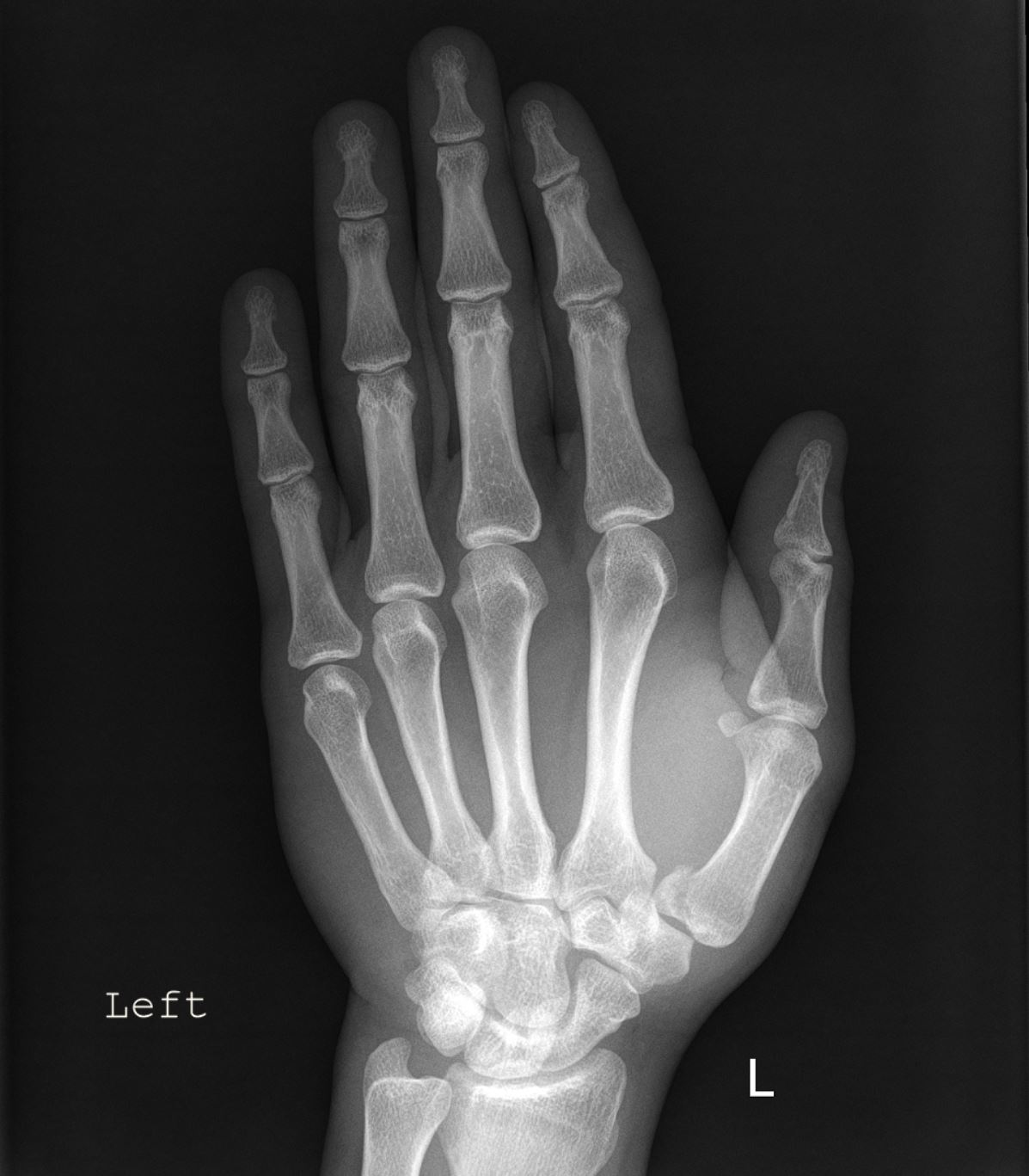
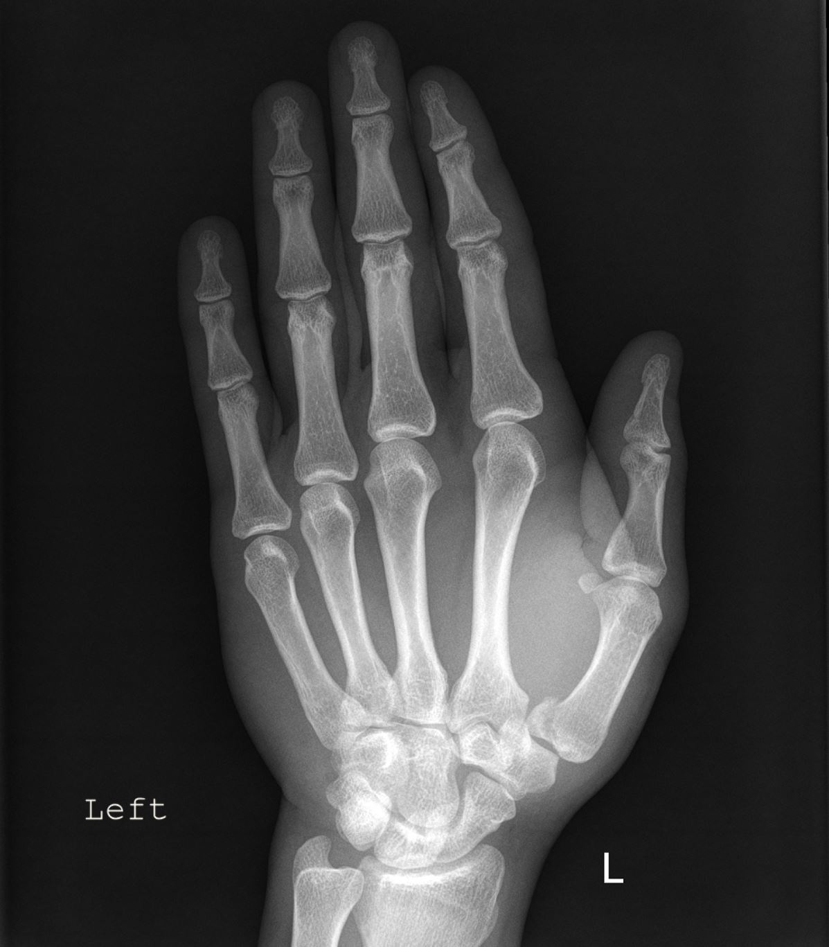
Sie haben folgende Anamnese in Ihrer Anforderung: Z.n. Sturz auf die linke Hand. Welche Verletzung erkennen Sie auf vorliegendem Röntgenbild?
https://raducation.de/login-info/
Jetzt bitte einloggen...
Der aufgerufene Inhalt steht nach dem Login zur Verfügung. Nutze bitte den bekannten DRG-Login via RadiSSO.
