Prüfungsfrage
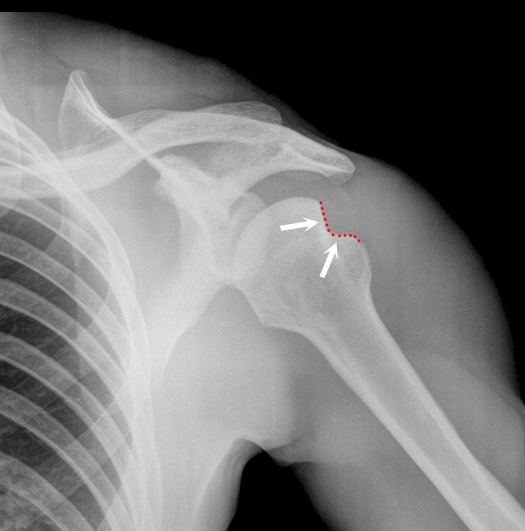
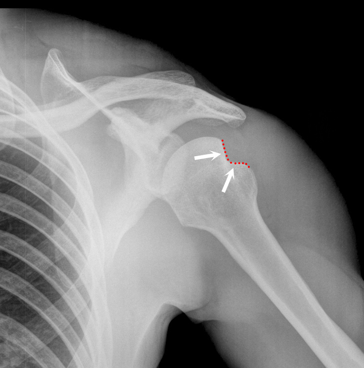
Welche Pathologie sehen sie auf diesem Röntgen der linken Schulter und durch welchen Mechanismus entsteht diese?
https://radiopaedia.org/cases/ec6f30ad1242a0aa2cc1166677340675/play
https://raducation.de/login-info/
Jetzt bitte einloggen...
Der aufgerufene Inhalt steht nach dem Login zur Verfügung. Nutze bitte den bekannten DRG-Login via RadiSSO.
