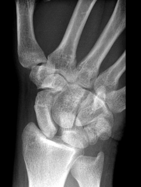
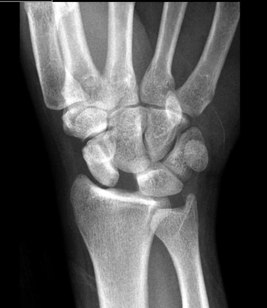
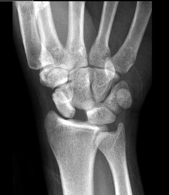
Prüfungsfrage
Welche Pathologie erkennen Sie auf folgendem Röntgenbild? Welche Bänder sind bei eben diese Pathologie gerissen?
https://radiopaedia.org/cases/113077bc8368779e3a5ca9483385d43a/play
https://raducation.de/login-info/
Jetzt bitte einloggen...
Der aufgerufene Inhalt steht nach dem Login zur Verfügung. Nutze bitte den bekannten DRG-Login via RadiSSO.
