Prüfungsfrage
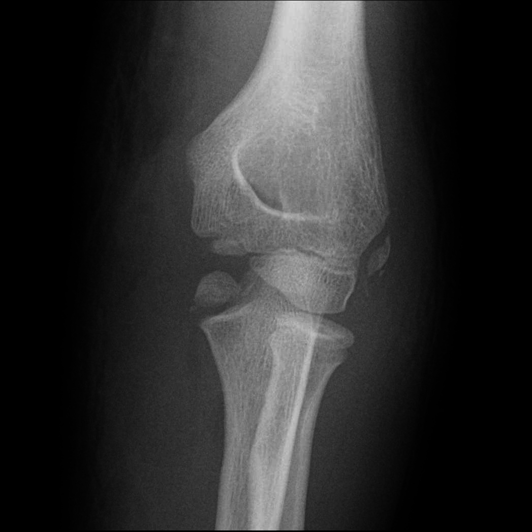
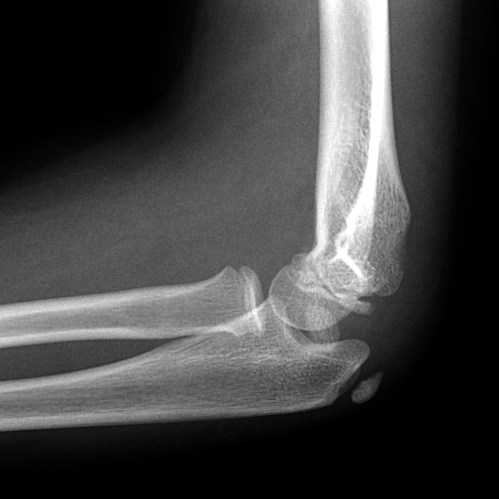
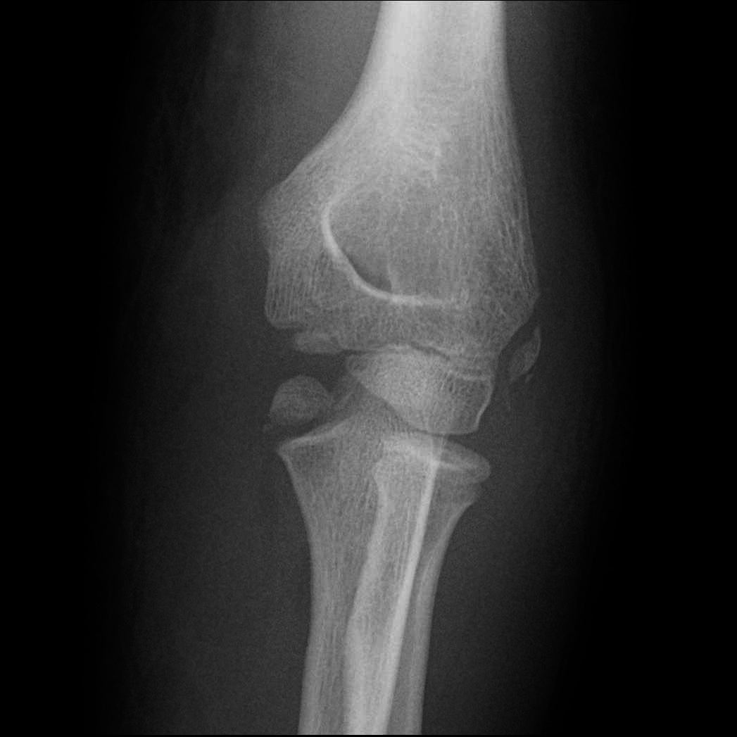
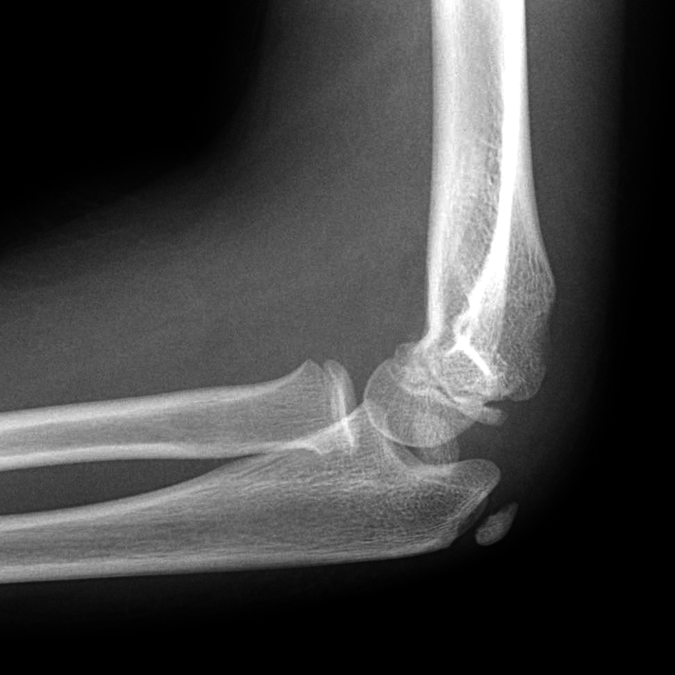
Welche wichtige, jedoch leicht zu übersehende Verletzung erkennen Sie auf diesem Ellenbogenröntgen eines 12-jährigen Patienten nach erfolgter Reposition einer vorangegangenen Ellenbogenluxation?
https://radiopaedia.org/cases/af5dc9fb0c953f162c785f578caba606/play
https://raducation.de/login-info/
Jetzt bitte einloggen...
Der aufgerufene Inhalt steht nach dem Login zur Verfügung. Nutze bitte den bekannten DRG-Login via RadiSSO.
