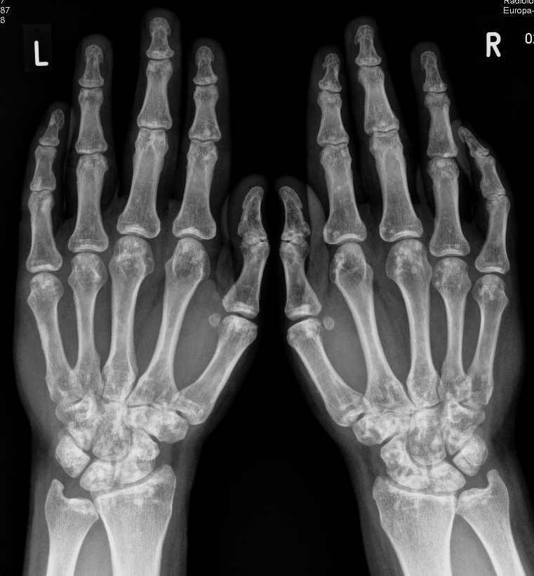
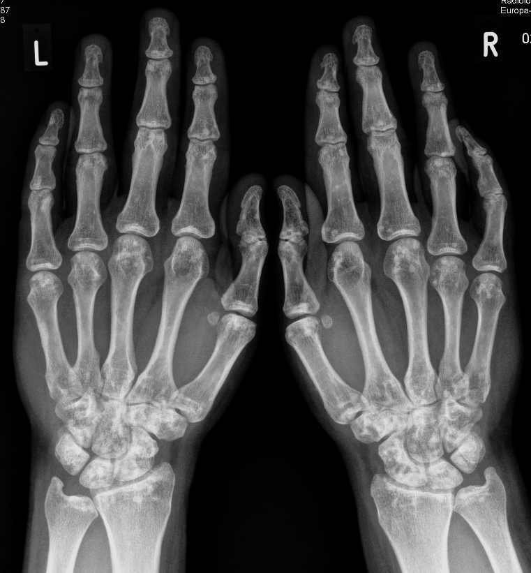
Prüfungsfrage
Beschreiben Sie die Befunde auf dem vorliegenden Röntgenbild der Hände und geben Sie die wahrscheinlichste Diagnose an.
https://radiopaedia.org/cases/87c1bd0bf53c2ba7868d6cd15581d2dd/play
https://raducation.de/login-info/
Jetzt bitte einloggen...
Der aufgerufene Inhalt steht nach dem Login zur Verfügung. Nutze bitte den bekannten DRG-Login via RadiSSO.
