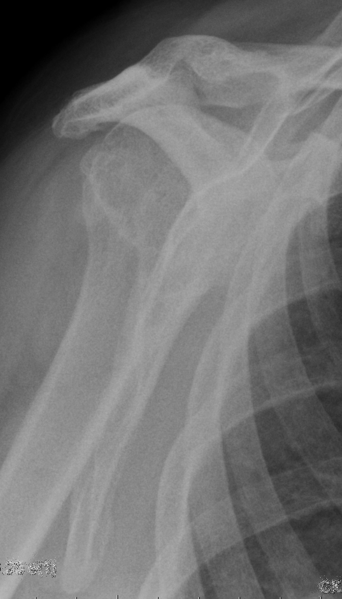
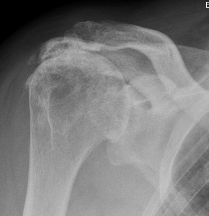
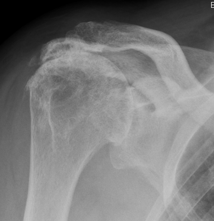
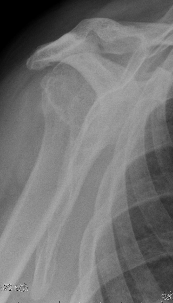
Prüfungsfrage
Beschreiben Sie die Befunde auf dem vorliegenden Röntgenbild der Schulter und geben Sie die wahrscheinlichste Ursache für die Befunde an.
https://radiopaedia.org/cases/5ee019f7cf2786aea4a324e6df51a543/play
https://raducation.de/login-info/
Jetzt bitte einloggen...
Der aufgerufene Inhalt steht nach dem Login zur Verfügung. Nutze bitte den bekannten DRG-Login via RadiSSO.
