Prüfungsfrage
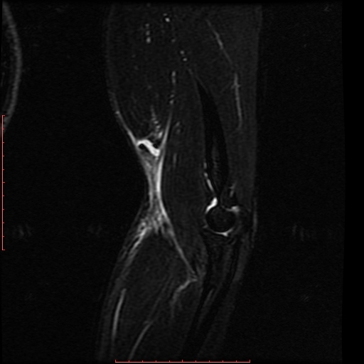
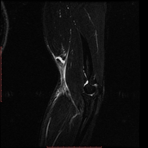
Anamnese: Ellenbogenschmerzen nach Gewichtheben. Welche Pathologie können Sie auf dem vorliegenden MRT des Ellenbogens erkennen?
https://radiopaedia.org/cases/e125744548ceaba1abbd576d0536e2b3/play
https://raducation.de/login-info/
Jetzt bitte einloggen...
Der aufgerufene Inhalt steht nach dem Login zur Verfügung. Nutze bitte den bekannten DRG-Login via RadiSSO.
