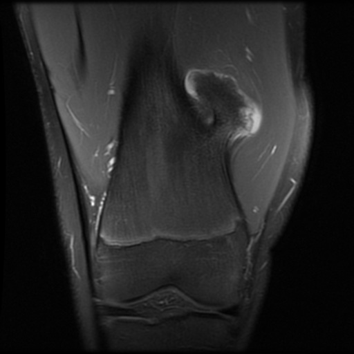
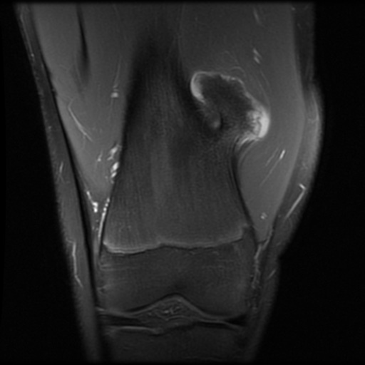
Prüfungsfrage
Um welchen Knochentumor handelt es sich auf dieser coronaren Schicht einer PD-fs MRT des distalen Femurs? Was würde auf eine maligne Transformation hinweisen?
https://radiopaedia.org/cases/77de37e78d3a56427641f5538bd3fe78
https://raducation.de/login-info/
Jetzt bitte einloggen...
Der aufgerufene Inhalt steht nach dem Login zur Verfügung. Nutze bitte den bekannten DRG-Login via RadiSSO.
