Prüfungsfrage
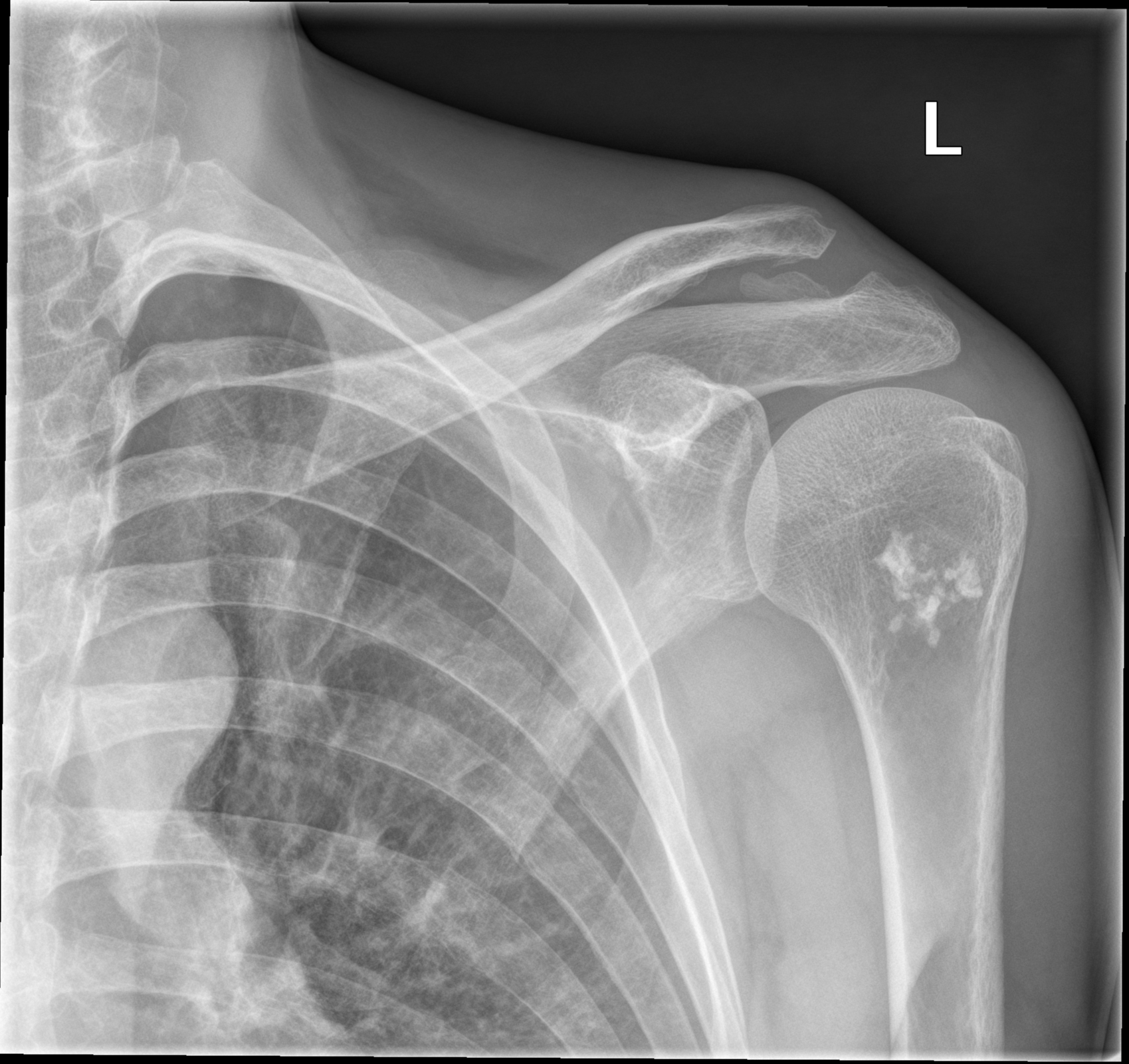
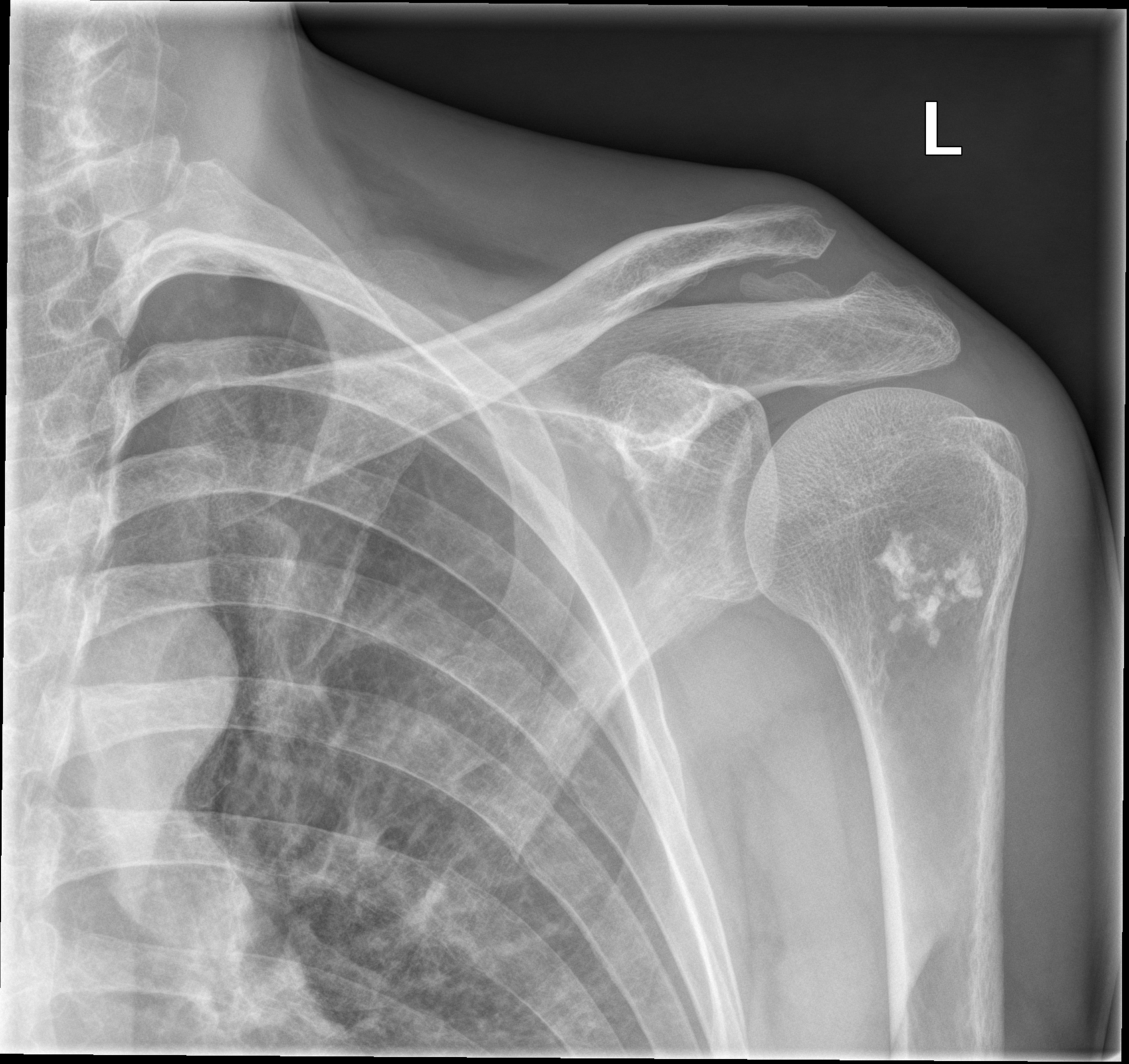
Welches ist die wahrscheinlichste Diagnose für die im vorliegenden Röntgen abgrenzbare Läsion des proximalen Humerus? DDs?
https://raducation.de/login-info/
Jetzt bitte einloggen...
Der aufgerufene Inhalt steht nach dem Login zur Verfügung. Nutze bitte den bekannten DRG-Login via RadiSSO.
