Prüfungsfrage
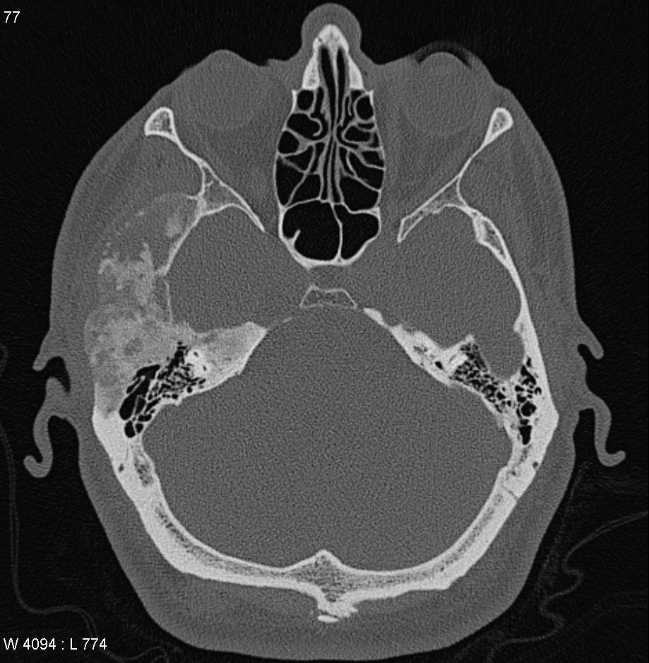
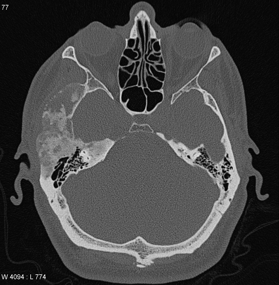
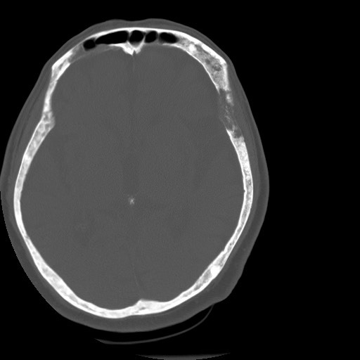
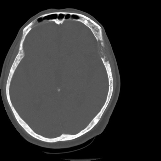
A) Schädel-CT eines 70-jährigen Patienten. B) Schädel-CT eines 30-jährigen Patienten. In einem Fall liegt eine Fibröse Dysplasie vor, in dem anderen ein Morbus Paget? Welches Bild zeigt am ehesten welche Erkrankung und warum?
https://raducation.de/login-info/
Jetzt bitte einloggen...
Der aufgerufene Inhalt steht nach dem Login zur Verfügung. Nutze bitte den bekannten DRG-Login via RadiSSO.
