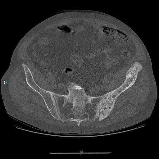
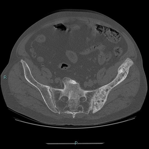
Prüfungsfrage
Welche Pathologie erklärt am ehesten die Veränderungen des linken Hemibeckens auf dem vorliegenden CTs eines 80-jährigen Patienten?
https://radiopaedia.org/cases/45b591e67ec3839bd69027f4bac8bb93
https://raducation.de/login-info/
Jetzt bitte einloggen...
Der aufgerufene Inhalt steht nach dem Login zur Verfügung. Nutze bitte den bekannten DRG-Login via RadiSSO.
