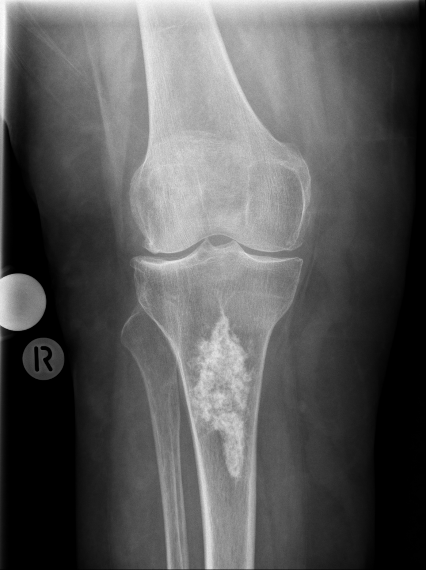
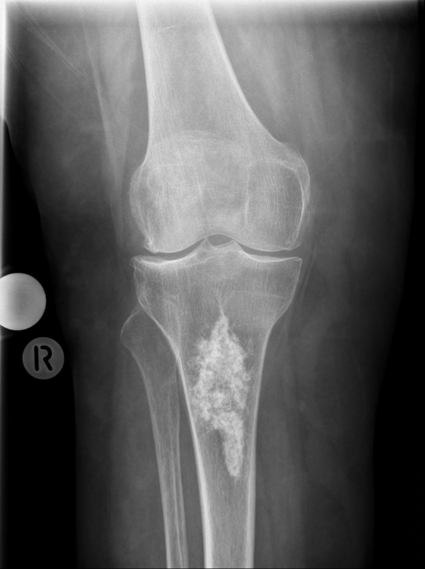
Prüfungsfrage
Worum handelt es sich bei der Läsion in der proximalen Tibia am ehesten? Demographische Daten: 75-jährige Patientin.
https://radiopaedia.org/cases/aabf341c831df13ce8bbb25dfb05fc4f/play
https://raducation.de/login-info/
Jetzt bitte einloggen...
Der aufgerufene Inhalt steht nach dem Login zur Verfügung. Nutze bitte den bekannten DRG-Login via RadiSSO.
