Prüfungsfrage
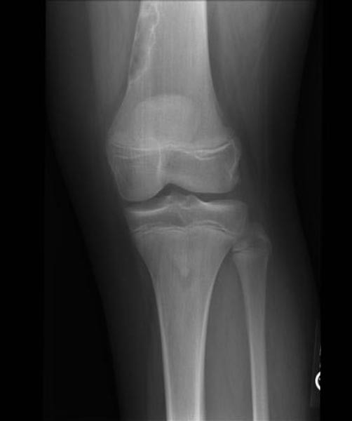
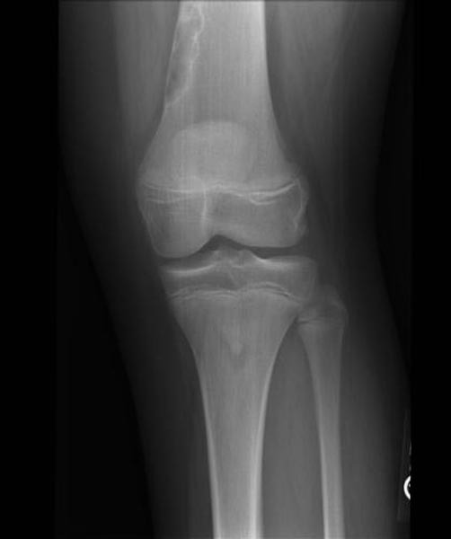
Welche Befunde erheben Sie auf dem vorliegenden Röntgenbild? Wie lautet ihre Diagnose? Müssen Sie eine weitere Abklärung initiieren?
https://radiopaedia.org/cases/1b407a89f409e746f2e9db9e2d2ce60f
https://raducation.de/login-info/
Jetzt bitte einloggen...
Der aufgerufene Inhalt steht nach dem Login zur Verfügung. Nutze bitte den bekannten DRG-Login via RadiSSO.
