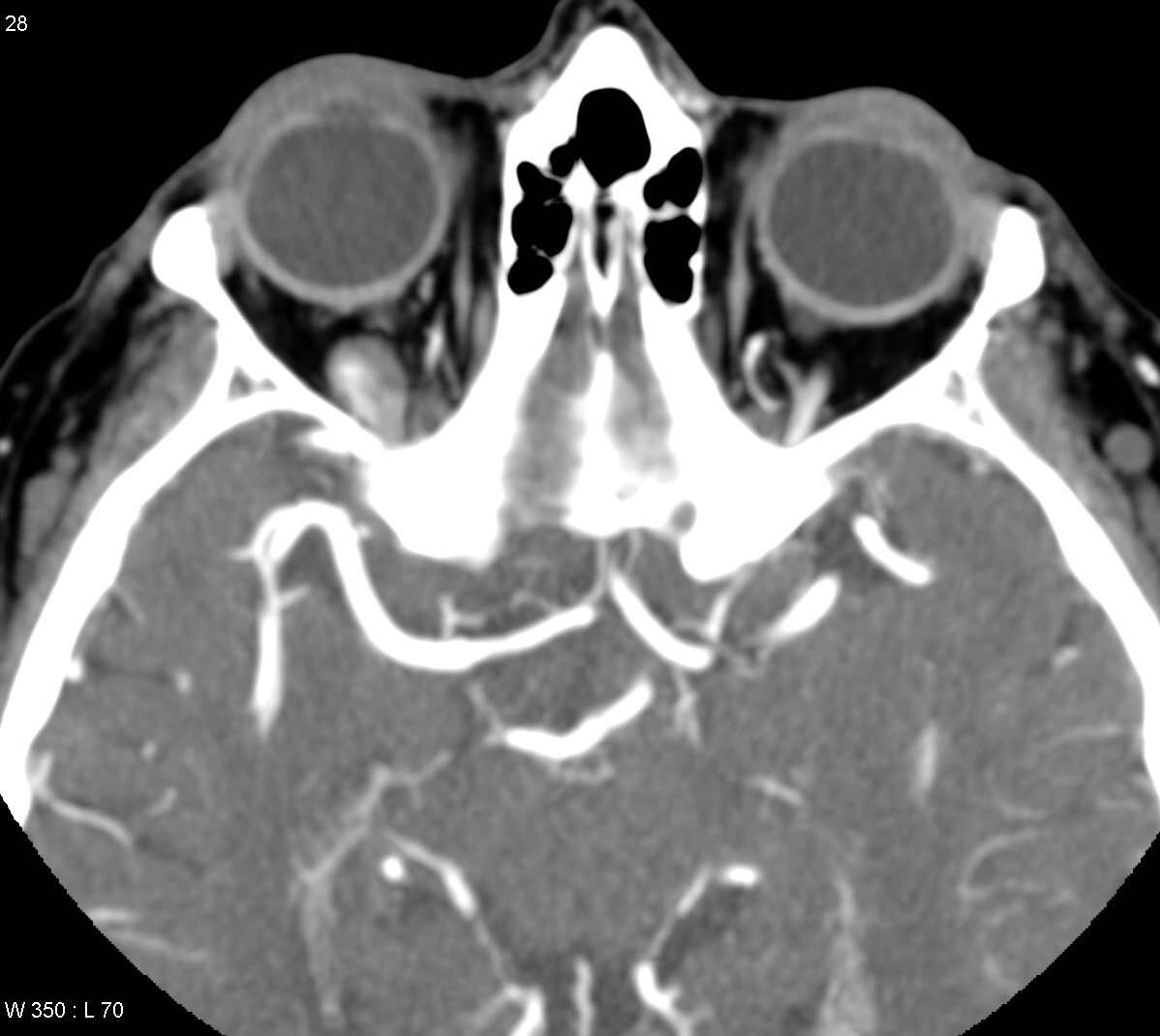
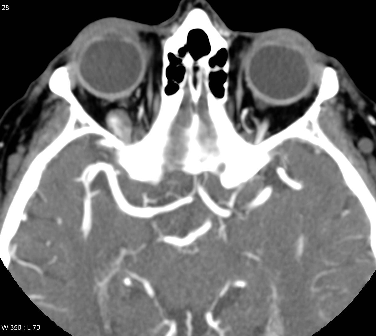
Prüfungsfrage
Was ist auf dem folgenden Bild zu sehen?
https://raducation.de/login-info/
Jetzt bitte einloggen...
Der aufgerufene Inhalt steht nach dem Login zur Verfügung. Nutze bitte den bekannten DRG-Login via RadiSSO.
Das Forum Junge Radiologie hat das Weiterbildungscurriculum Radiologie entwickelt, um die Weiterbildung und Prüfungsvorbereitung zu unterstützen. Mit Raducation steht nun eine Plattform bereit, die zum Beispiel Prüfungsfragen beantwortet.
Der aufgerufene Inhalt steht nach dem Login zur Verfügung. Nutze bitte den bekannten DRG-Login via RadiSSO.
