Prüfungsfrage
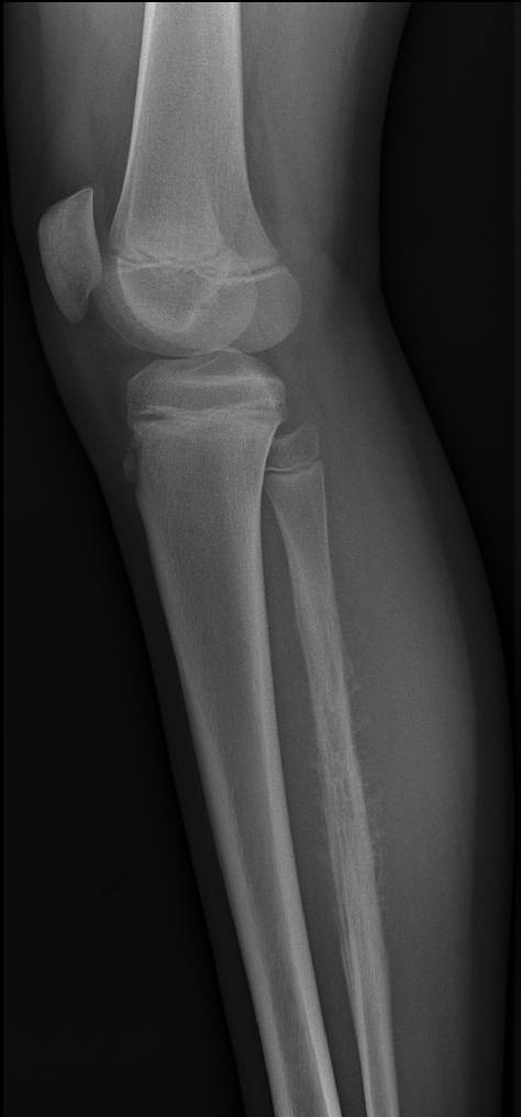
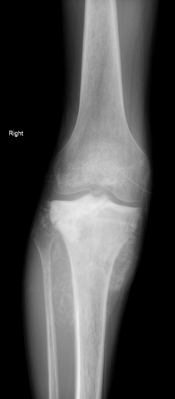
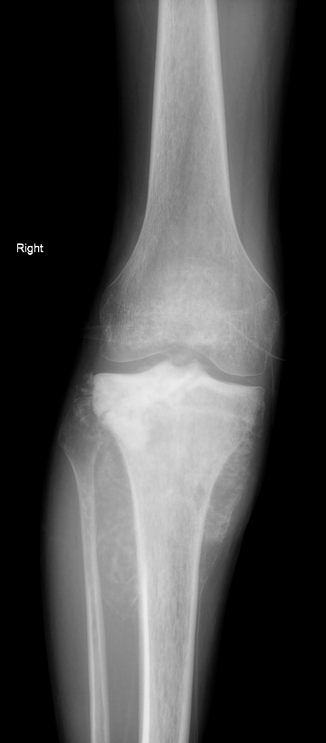
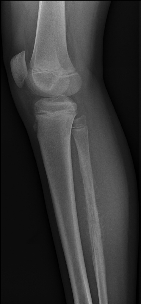
Auch wenn sich Osteosarkom und Ewing-Sarkom bildgebend nicht sicher voneinander unterscheiden lassen, zeigen beide Entitäten charakteristische Häufungen bestimmter morphologischer Merkmale. Auf den beiden vorliegenden Röntgenaufnahmen sehen Sie jeweils eine Knochenläsion – einmal der Tibia und einmal der Fibula. Welche Läsion ist eher einem Osteosarkom, welche eher einem Ewing-Sarkom zuzuordnen, und welche radiologischen Merkmale stützen diese Einschätzung?
https://raducation.de/login-info/
Jetzt bitte einloggen...
Der aufgerufene Inhalt steht nach dem Login zur Verfügung. Nutze bitte den bekannten DRG-Login via RadiSSO.
