Prüfungsfrage
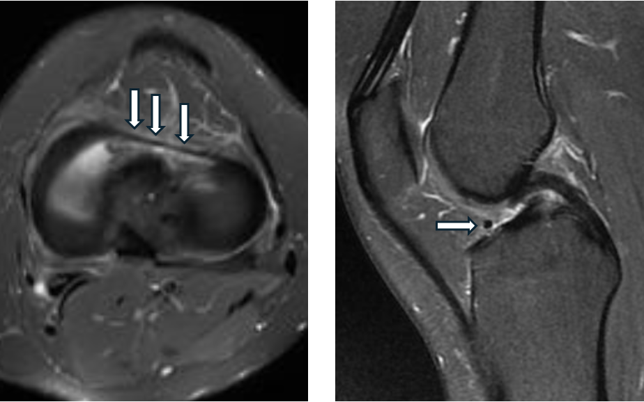
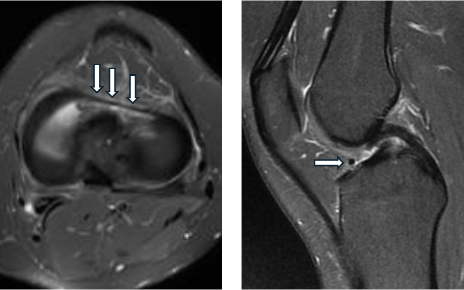
Welche Normvariante ist auf dem vorliegenden axialen und sagittalen PD-fs MRT-Bildern eines Knies mit Pfeilen gekennzeichnet?
https://raducation.de/login-info/
Jetzt bitte einloggen...
Der aufgerufene Inhalt steht nach dem Login zur Verfügung. Nutze bitte den bekannten DRG-Login via RadiSSO.
