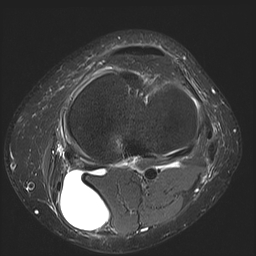
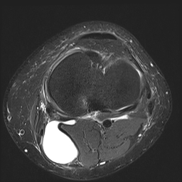
Prüfungsfrage
Worum handelt es sich bei dieser zystischen Struktur in der Kniekehle?
https://raducation.de/login-info/
Jetzt bitte einloggen...
Der aufgerufene Inhalt steht nach dem Login zur Verfügung. Nutze bitte den bekannten DRG-Login via RadiSSO.
