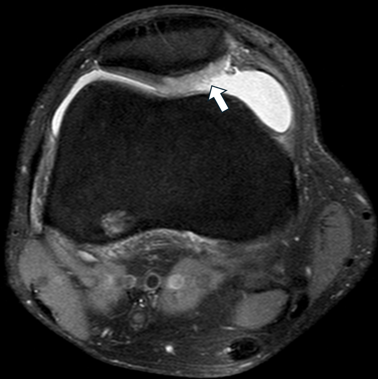
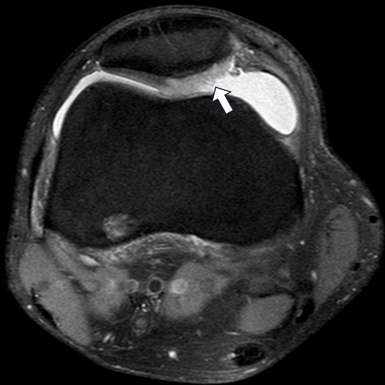
Prüfungsfrage
Was für eine Pathologie ist auf dem vorliegenden MRT-Bild markiert?
https://raducation.de/login-info/
Jetzt bitte einloggen...
Der aufgerufene Inhalt steht nach dem Login zur Verfügung. Nutze bitte den bekannten DRG-Login via RadiSSO.
