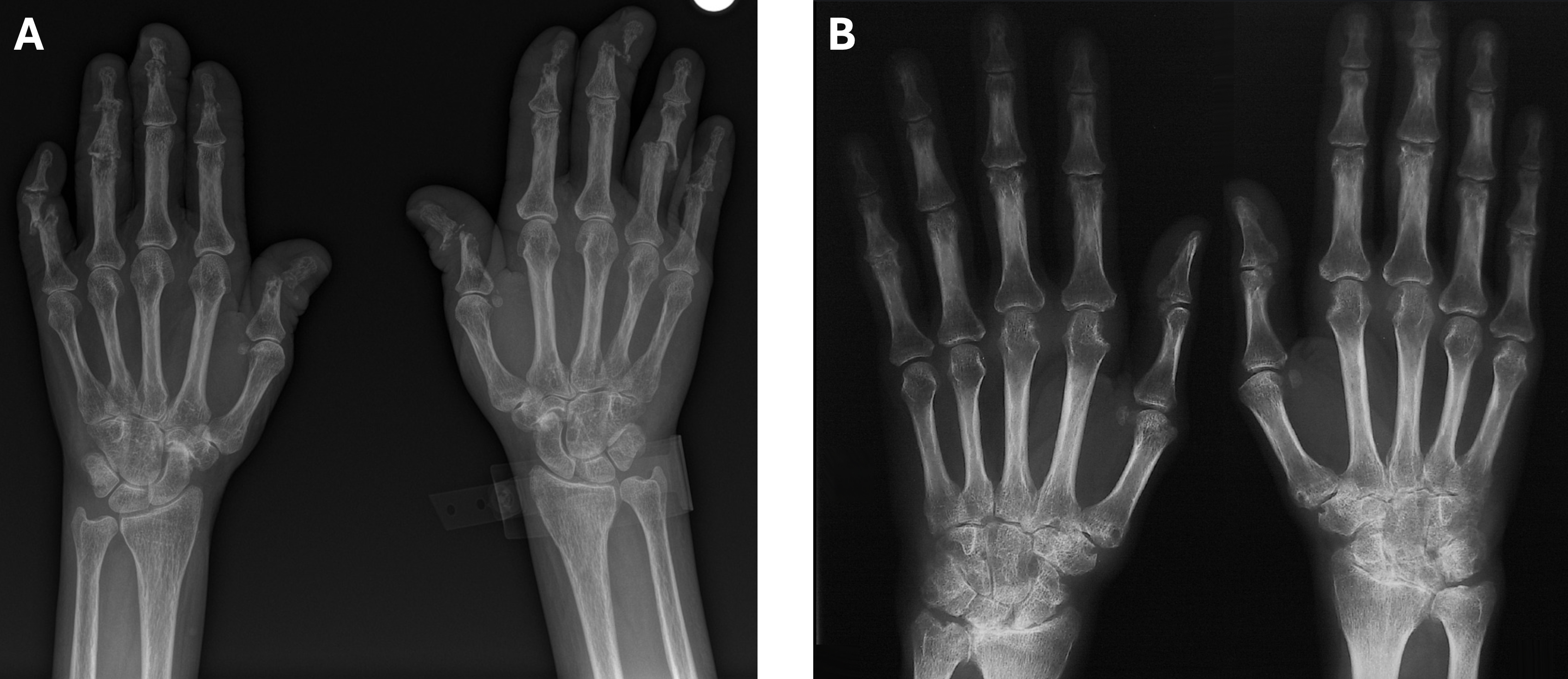
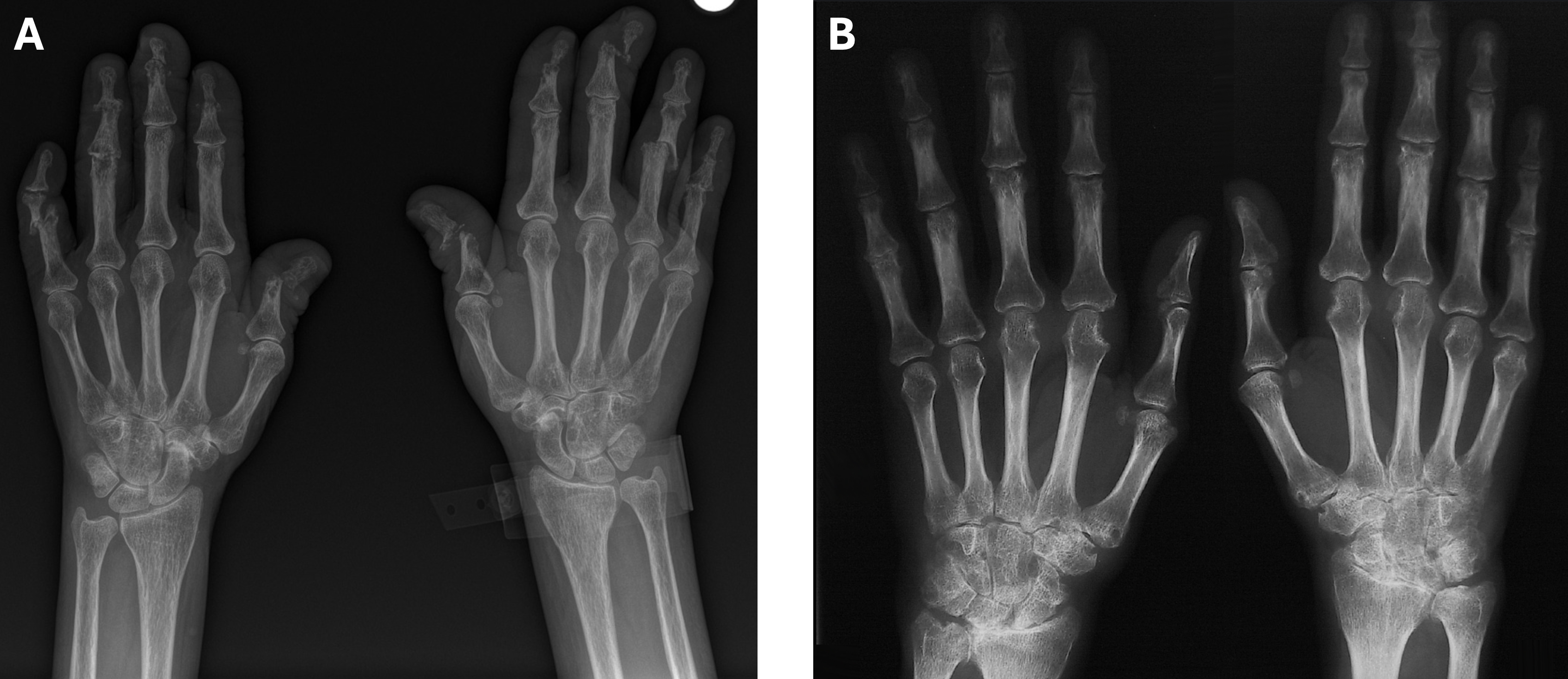
Prüfungsfrage
Sie sehen zwei Röntgenbilder der Hände. Welchen Fall würden Sie aufgrund des Verteilungsmuster der ossären Veränderungen eher einer Rheumatoide Arthritis und welchen eher einer Psorias Arthritis zuordnen?
https://raducation.de/login-info/
Jetzt bitte einloggen...
Der aufgerufene Inhalt steht nach dem Login zur Verfügung. Nutze bitte den bekannten DRG-Login via RadiSSO.
