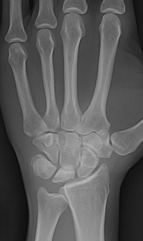
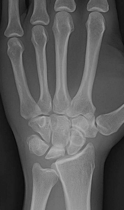
Prüfungsfrage
Welche Diagnose stellen Sie in diesem Fall von attraumatischen Handgelenkschmerzen?
https://raducation.de/login-info/
Jetzt bitte einloggen...
Der aufgerufene Inhalt steht nach dem Login zur Verfügung. Nutze bitte den bekannten DRG-Login via RadiSSO.
